EN
CD抗体
当前位置:首页 > 产品中心 > 抗体 > CD抗体
Mouse Monoclonal Antibody to CD20
All
  • CatalogTD-20163
  • ClonalitymAb
  • Application IHC, ICC
  • SynonymsB1; S7; Bp35; CD20; MS4A2; LEU-16; MGC3969; MS4A1
  • 规格
    100ul 50ul
  • 价格
    ¥2180
定制服务咨询

Mouse Monoclonal Antibody to CD20


Description
CD20 (MS4A1, membrane-spanning 4-domains, subfamily A, member 1) is a member of the membrane-spanning 4A gene family. Members of this nascent protein family are characterized by common structural features and similar intron/exon splice boundaries and display unique expression patterns among hematopoietic cells and nonlymphoid tissues. The CD20 antigen is present on human pre B lymphocytes and on B lymphocytes at all stages of maturation, except on plasma cells. Low level expression of the CD20 antigen has been detected on normal T lymphocytes. The CD20 molecule is involved in regulation of B cell differentiation, presumably via its reported function as a Ca++ channel subunit. And it is known to accelerate the G0 to G1 progression induced by IGF-1.
Specification
Aliases B1; S7; Bp35; CD20; MS4A2; LEU-16; MGC3969; MS4A1
Entrez GeneID 931
Swissprot P11836
clone 3E9D3C1G3
Host/Isotype Mouse IgG
Antibody Type Primary antibody
Storage Store at 4°C short term. Aliquot and store at -20°C long term. Avoid freeze/thaw cycles.
Species Reactivity Human
Immunogen Synthetic peptide corresponding to aa (EPANPSEKNSPSTQY) of human CD20,conjugated to KLH.
Formulation Ascitic fluid containing 0.03% sodium azide.
Application
IHC 1/200 - 1/1000
ICC 1/200 - 1/1000
ELISA 1/10000
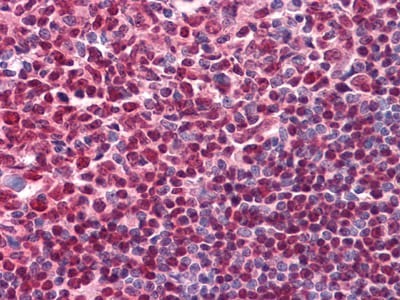
Product Image

TD-201632.jpg

TD-201631.jpg

 
Immunofluorescence analysis of B lymphocytes using CD20 mouse mAb. Immunohistochemical analysis of paraffin-embedded human Tonsil tissues using CD20 mouse mAb.