EN
CD抗体
当前位置:首页 > 产品中心 > 抗体 > CD抗体
Mouse Monoclonal Antibody to CD19
All
  • CatalogTD-20028
  • ClonalitymAb
  • Application IHC
  • SynonymsB4; MGC12802
  • 规格
    100ul 50ul
  • 价格
    ¥2180
定制服务咨询

Mouse Monoclonal Antibody to CD19


 

Description
The CD19 antigen (95kDa) is expressed from the earliest stage of B progenitor development, on all peripheral B cells including germinal centre B cells, and all B cell lines and B cell leukaemia tested. T cell and monocytic cell lines are negative and the antigen is lost on B cell maturation to plasma cells. The antigen is a type I integral membrane glycoprotein whose in vitro inhibition will influence B cell activation and proliferation.
Specification
Aliases B4; MGC12802
Entrez GeneID 930
Swissprot P15391
clone 2E2B6B10
Host/Isotype Mouse IgG2b
Antibody Type Primary antibody
Storage Store at 4°C short term. Aliquot and store at -20°C long term. Avoid freeze/thaw cycles.
Species Reactivity Human
Immunogen Purified recombinant fragment of human CD19 expressed in E. Coli.
Formulation Ascitic fluid containing 0.03% sodium azide.
Application
FCM 1/200 - 1/400
ELISA 1/10000
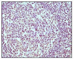
Product Image
TD-200281.jpg
Immunohistochemical analysis of paraffin-embedded human normal lymph node, showing cytoplasmic localization using CD19 mouse mAb with DAB staining.