EN
CD抗体
当前位置:首页 > 产品中心 > 抗体 > CD抗体
Mouse Monoclonal Antibody to CD15
All
  • CatalogTD-30239
  • ClonalitymAb
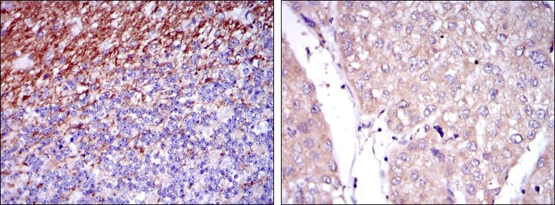
  • Application IHC, ICC
  • SynonymsLeX; CD15; ELFT; FCT3A; FUTIV; SSEA-1; FUC-TIV
  • 规格
    100ul 50ul
  • 价格
    ¥2180
定制服务咨询

Mouse Monoclonal Antibody to CD15


 

Description
The product of this gene transfers fucose to N-acetyllactosamine polysaccharides to generate fucosylated carbohydrate structures. It catalyzes the synthesis of the non-sialylated antigen, Lewis x (CD15).
Specification
Aliases LeX; CD15; ELFT; FCT3A; FUTIV; SSEA-1; FUC-TIV
Entrez GeneID 2526
Swissprot P22083
clone 4.00E+10
WB Predicted band size 59kDa
Host/Isotype Mouse IgG1
Antibody Type Primary antibody
Storage Store at 4°C short term. Aliquot and store at -20°C long term. Avoid freeze/thaw cycles.
Species Reactivity Human
Immunogen Synthesized peptide of human CD15.
Formulation Ascitic fluid containing 0.03% sodium azide.
Application
IHC 1/200 - 1/1000
FCM 1/200 - 1/400
ELISA 1/10000
Product Image
TD-302393.jpg
 
TD-302392.jpg
 
TD-302391.jpg
 
Red: Control Antigen (100ng); Purple: Antigen (10ng); Green: Antigen (50ng); Blue: Antigen (100ng); Immunofluorescence analysis of PC-2 cells using CD15 mouse mAb (green). Blue: DRAQ5 fluorescent DNA dye. Red: Actin filaments have been labeled with Alexa Fluor-555 phalloidin. Immunofluorescence analysis of PC-2 cells using CD15 mouse mAb (green). Blue: DRAQ5 fluorescent DNA dye. Red: Actin filaments have been labeled with Alexa Fluor-555 phalloidin.