EN
CD抗体
当前位置:首页 > 产品中心 > 抗体 > CD抗体
Mouse Monoclonal Antibody to CD14
All
  • CatalogTD-20020
  • ClonalitymAb
  • Application FCM, IHC
  • SynonymsCD14
  • 规格
    100ul 50ul
  • 价格
    ¥2180
定制服务咨询

Mouse Monoclonal Antibody to CD14


 

Description
CD14 antigen is a GPI-linked glycoprotein with a molecular weight of 55kD. The CD14 antigen is expressed on cells of the myelomonocytic lineage including monocytes, macrophages and Langerhans cells. Low expression is ob/served on neutrophils and on human B cells. CD14 antigen is a receptor for bacterial lipopolysaccharide (LPS, endotoxin) and the lipopolysaccharide binding protein (LBP). LBP and CD14 antigen serves two physiological roles. These proteins act as opsonin and opsonic receptor, respectively, to promote the phagocytic uptake of bacteria or LPScoated particles by macrophages.
Specification
Aliases CD14
Entrez GeneID 929
Swissprot P08571
clone 5A3
Host/Isotype Mouse IgG1
Antibody Type Primary antibody
Storage Store at 4°C short term. Aliquot and store at -20°C long term. Avoid freeze/thaw cycles.
Species Reactivity Human
Immunogen Purified recombinant fragment of human CD14 expressed in E. Coli.
Formulation Ascitic fluid containing 0.03% sodium azide.
Application
IHC 1/200 - 1/1000
FCM 1/200 - 1/400
ELISA 1/10000
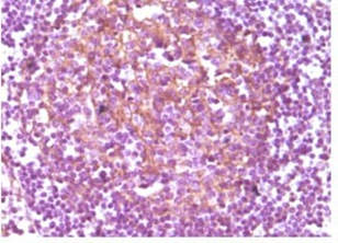
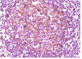
Product Image

 
Flow cytometric analysis of human PBMC using CD14 mouse mAb. Immunohistochemical analysis of paraffin-embedded human lymphnode, showing membrane localization using CD14 mouse mAb with DAB staining.