EN
CD抗体
当前位置:首页 > 产品中心 > 抗体 > CD抗体
Mouse Monoclonal Antibody to CD11a
All
  • CatalogTD-31525
  • ClonalitymAb
  • Application FCM, ELISA, IHC, WB
  • SynonymsITGAL; LFA-1; LFA1A
  • 规格
    100ul 50ul
  • 价格
    ¥2180
定制服务咨询

Mouse Monoclonal Antibody to CD11a


Description
ITGAL encodes the integrin alpha L chain. Integrins are heterodimeric integral membrane proteins composed of an alpha chain and a beta chain. This I-domain containing alpha integrin combines with the beta 2 chain (ITGB2) to form the integrin lymphocyte function-associated antigen-1 (LFA-1), which is expressed on all leukocytes. LFA-1 plays a central role in leukocyte intercellular adhesion through interactions with its ligands, ICAMs 1-3 (intercellular adhesion molecules 1 through 3), and also functions in lymphocyte costimulatory signaling. Two transcript variants encoding different isoforms have been found for this gene.
Specification
Aliases ITGAL; LFA-1; LFA1A
Entrez GeneID 3683
Swissprot P20701
clone 5G7C5
WB Predicted band size 128.8kDa
Host/Isotype Mouse IgG2a
Antibody Type Primary antibody
Storage Store at 4°C short term. Aliquot and store at -20°C long term. Avoid freeze/thaw cycles.
Species Reactivity Human
Immunogen Purified recombinant fragment of human CD11a (AA: extra 26-194) expressed in E. Coli.
Formulation Purified antibody in PBS with 0.05% sodium azide
Application
WB 1/500 - 1/2000
IHC 1/200 - 1/1000
FCM 1/200 - 1/400
ELISA 1/10000
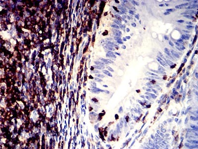
Product Image
TD-315251.jpg
TD-315252.jpg
TD-315253.jpg
Black line: Control Antigen (100 ng);Purple line: Antigen (10ng); Blue line: Antigen (50 ng); Red line:Antigen (100 ng) Western blot analysis using CD11a mouse mAb against HL-60 (1), A549 (2), and SW620 (3) cell lysate. Flow cytometric analysis of HL-60 cells using CD11a mouse mAb (green) and negative control (red).
TD-315254.jpg
TD-315255.jpg
 
Immunohistochemical analysis of paraffin-embedded human tonsil tissues using CD11a mouse mAb with DAB staining. Immunohistochemical analysis of paraffin-embedded human rectum cancer tissues using CD11a mouse mAb with DAB staining.