EN
CD抗体
当前位置:首页 > 产品中心 > 抗体 > CD抗体
Mouse Monoclonal Antibody to CD9
All
  • CatalogTD-30298
  • ClonalitymAb
  • Application FCM, ELISA, IHC
  • SynonymsMIC3; MRP-1; BTCC-1; DRAP-27; TSPAN29; FLJ99568; TSPAN-29
  • 规格
    100ul 50ul
  • 价格
    ¥2180
定制服务咨询

Mouse Monoclonal Antibody to CD9


 

Description
This gene encodes a member of the transmembrane 4 superfamily, also known as the tetraspanin family. Tetraspanins are cell surface glycoproteins with four transmembrane domains that form multimeric complexes with other cell surface proteins. The encoded protein functions in many cellular processes including differentiation, adhesion, and signal transduction, and expression of this gene plays a critical role in the suppression of cancer cell motility and metastasis.
Specification
Aliases MIC3; MRP-1; BTCC-1; DRAP-27; TSPAN29; FLJ99568; TSPAN-29
Entrez GeneID 928
Swissprot P21926
clone 5G6
WB Predicted band size 25kDa
Host/Isotype Mouse IgG1
Antibody Type Primary antibody
Storage Store at 4°C short term. Aliquot and store at -20°C long term. Avoid freeze/thaw cycles.
Species Reactivity Human
Immunogen Synthesized peptide of human CD9.
Formulation Ascitic fluid containing 0.03% sodium azide.
   
   
   
   
Application
IHC 1/200 - 1/1000
FCM 1/200 - 1/400
ELISA 1/10000
   
   
   
   
Product Image

TD-302984.jpg

Black line: Control Antigen (100 ng); Purple line: Antigen(10ng); Blue line: Antigen (50 ng); Red line: Antigen (100 ng);

TD-302983.jpg

Flow cytometric analysis of Jurkat cells using CD9 mouse mAb (green) and negative control (red).
 

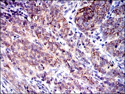
TD-302981.jpg

Immunohistochemical analysis of paraffin-embedded human cervical cancer tissues using CD9 mouse mAb with DAB staining.

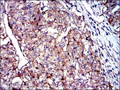
TD-302982.jpg

Immunohistochemical analysis of paraffin-embedded human kidney cancer tissues using CD9 mouse mAb with DAB staining.