EN
CD抗体
当前位置:首页 > 产品中心 > 抗体 > CD抗体
Mouse Monoclonal Antibody to CD7
All
  • CatalogTD-30502
  • ClonalitymAb
  • Application FCM, ELISA, IHC
  • Synonyms
  • 规格
    100ul 50ul
  • 价格
    ¥2180
定制服务咨询

Mouse Monoclonal Antibody to CD7


 

Description
This gene encodes a transmembrane protein which is a member of the immunoglobulin superfamily. This protein is found on thymocytes and mature T cells. It plays an essential role in T-cell interactions and also in T-cell/B-cell interaction during early lymphoid development.
Specification
Aliases GP40; TP41; Tp40; LEU-9
Entrez GeneID 924
Swissprot P09564
clone 5B10E3
WB Predicted band size 25.4kDa
Host/Isotype Mouse IgG1
Antibody Type Primary antibody
Storage Store at 4°C short term. Aliquot and store at -20°C long term. Avoid freeze/thaw cycles.
Species Reactivity Human
Immunogen Purified recombinant fragment of human CD7 (AA: 72-175) expressed in E. Coli.
Formulation Purified antibody in PBS with 0.05% sodium azide
Application
IHC 1/200 - 1/1000
FCM 1/200 - 1/400
ELISA 1/10000
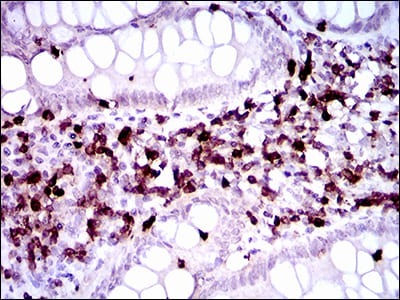
Product Image

TD-305022.jpg

 

TD-305021.jpg

 
 
Black line: Control Antigen (100 ng); Purple line: Antigen(10ng); Blue line: Antigen (50 ng); Red line: Antigen (100 ng); Immunohistochemical analysis of paraffin-embedded human endometrial cancer tissues using CD7 mouse mAb with DAB staining.