EN
CD抗体
当前位置:首页 > 产品中心 > 抗体 > CD抗体
Mouse Monoclonal Antibody to CD6
All
  • CatalogTD-30410
  • ClonalitymAb
  • Application ELISA, IHC
  • SynonymsTP120; FLJ44171
  • 规格
    100ul 50ul
  • 价格
    ¥2180
定制服务咨询

Mouse Monoclonal Antibody to CD6


 

Description
This gene encodes a protein found on the outer membrane of T-lymphocytes as well as some other immune cells. The encoded protein contains three scavenger receptor cysteine-rich (SRCR) domains and a binding site for an activated leukocyte cell adhesion molecule. The gene product is important for continuation of T cell activation. This gene may be associated with susceptibility to multiple sclerosis (PMID: 19525953, 21849685). Multiple transcript variants encoding different isoforms have been found for this gene.
Specification
Aliases TP120; FLJ44171
Entrez GeneID 923
Swissprot P30203
clone 6B9
WB Predicted band size 71.8kDa
Host/Isotype Mouse IgG1
Antibody Type Primary antibody
Storage Store at 4°C short term. Aliquot and store at -20°C long term. Avoid freeze/thaw cycles.
Species Reactivity Human
Immunogen Purified recombinant fragment of human CD6 (AA: 472-668) expressed in E. Coli.
Formulation Purified antibody in PBS with 0.05% sodium azide
Application
IHC 1/200 - 1/1000
ELISA 1/10000
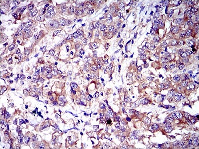
Product Image
TD-304102.jpg
TD-304101.jpg
 
Black line: Control Antigen (100 ng); Purple line: Antigen(10ng); Blue line: Antigen (50 ng); Red line: Antigen (100 ng); Immunohistochemical analysis of paraffin-embedded human stomach cancer tissues using CD6 mouse mAb with DAB staining.