EN
CD抗体
当前位置:首页 > 产品中心 > 抗体 > CD抗体
Rabbit Polyclonal Antibody to CD5L
All
  • CatalogTD-P04760
  • ClonalitymAb
  • Application IHC
  • SynonymsAIM; API6; PRO229; Spalpha; SP-ALPHA
  • 规格
    100ul 50ul
  • 价格
    ¥2180
定制服务咨询

Rabbit Polyclonal Antibody to CD5L


 

Description
CD5L (CD5 molecule-like), also known as API6, PRO229, Spalpha or SP-ALPHA, is a 347 amino acid secreted protein that belongs to the scavenger receptor cysteine-rich (SRCR) family of leukocyte regulating proteins. Expressed in bone marrow, spleen, thymus, lymph node and fetal liver, CD5L is thought to be involved in regulating the immune system via binding to peripheral monocytes and mediating their activation and overall survival. CD5L has three cysteine-rich domains and, in addition to its role in the immune system, may function to inhibit apoptosis and promote macrophage survival.
Specification
Aliases AIM; API6; PRO229; Spalpha; SP-ALPHA
Swissprot O43866
Host/Isotype Rabbit IgG
Antibody Type Primary antibody
Storage Store at 4°C short term. Aliquot and store at -20°C long term. Avoid freeze/thaw cycles.
Species Reactivity Human, Mouse
Immunogen Synthetic peptide of human CD5L
Formulation pH7.4 PBS, 0.05% NaN3, 40% Glycerol
Application
IHC 1/25-1/100
ELISA 1/1000-1/5000
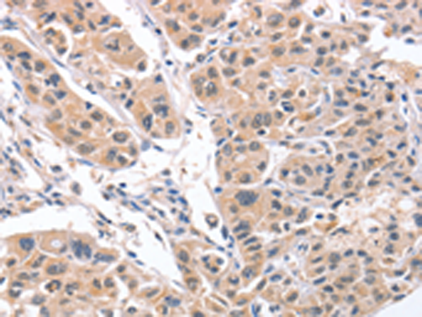
Product Image
TD-P04760.png
TD-P04760 2.png
 
The image is immunohistochemistry of paraffin-embedded Human liver cancer tissue using P04760(CD5L Antibody) at dilution 1/30. (Original magnification: ×200) The image is immunohistochemistry of paraffin-embedded Human lung cancer tissue using P04760(CD5L Antibody) at dilution 1/30. (Original magnification: ×200)