EN
CD抗体
当前位置:首页 > 产品中心 > 抗体 > CD抗体
Mouse Monoclonal Antibody to CD2
All
  • CatalogTD-31026
  • ClonalitymAb
  • Application FCM, ELISA, IHC, WB
  • SynonymsT11; SRBC; LFA-2
  • 规格
    100ul 50ul
  • 价格
    ¥2180
定制服务咨询

Mouse Monoclonal Antibody to CD2


Description
CD2 is a surface antigen of the human T-lymphocyte lineage that is expressed on all peripheral blood T cells (summarized by Sewell et al., 1986 [PubMed 3490670]). It is one of the earliest T-cell markers, being present on more than 95% of thymocytes; it is also found on some natural killer cells but not on B lymphocytes. Monoclonal antibodies directed against CD2 inhibit the formation of rosettes with sheep erythrocytes, indicating that CD2 is the erythrocyte receptor or is closely associated with it.
Specification
Aliases T11; SRBC; LFA-2
Entrez GeneID 914
Swissprot P06729
clone 3D1E3
WB Predicted band size 39.4kDa
Host/Isotype Mouse IgG1
Antibody Type Primary antibody
Storage Store at 4°C short term. Aliquot and store at -20°C long term. Avoid freeze/thaw cycles.
Species Reactivity Mouse
Immunogen Purified recombinant fragment of human CD2 (AA: 25-140) expressed in E. Coli.
Application
WB 1/500 - 1/2000
IHC 1/200 - 1/1000
FCM 1/200 - 1/400
ELISA 1/10000
Product Image
TD-310261.jpg
 
TD-310262.jpg
 
TD-310263.jpg
 
Black line: Control Antigen (100 ng);Purple line: Antigen (10ng); Blue line: Antigen (50 ng); Red line:Antigen (100 ng) Western blot analysis using CD2 mouse mAb against MOLT4 (1), MCF-7 (2), L1210 (3), U937 (4), and NIH3T3 (5) cell lysate. Flow cytometric analysis of Hela cells using CD2 mouse mAb (green) and negative control (red).
TD-310264.jpg
 
TD-310265.jpg
 
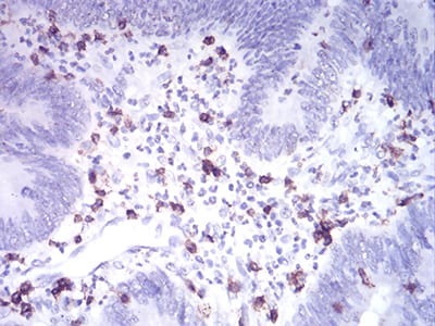
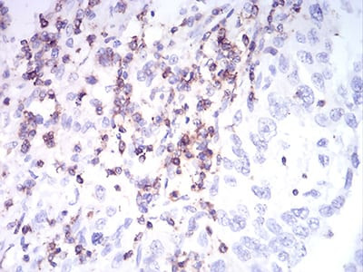
TD-310266.jpg
 
Flow cytometric analysis of HepG2 cells using CD2 mouse mAb (green) and negative control (red). mmunohistochemical analysis of paraffin-embedded human rectum cancer tissues using CD2 mouse mAb with DAB staining. Immunohistochemical analysis of paraffin-embedded human endometrial cancer tissues using CD2 mouse mAb with DAB staining.