EN
CD抗体
当前位置:首页 > 产品中心 > 抗体 > CD抗体
Mouse Monoclonal Antibody to CD1C
All
  • CatalogTD-31403
  • ClonalitymAb
  • Application FCM, ELISA, IHC
  • SynonymsR7; CD1; CD1A; BDCA1
  • 规格
    100ul 50ul
  • 价格
    ¥2180
定制服务咨询

Mouse Monoclonal Antibody to CD1C


 

Description
This gene encodes a member of the CD1 family of transmembrane glycoproteins, which are structurally related to the major histocompatibility complex (MHC) proteins and form heterodimers with beta-2-microglobulin. The CD1 proteins mediate the presentation of primarily lipid and glycolipid antigens of self or microbial origin to T cells. The human genome contains five CD1 family genes organized in a cluster on chromosome 1. The CD1 family members are thought to differ in their cellular localization and specificity for particular lipid ligands. The protein encoded by this gene is broadly distributed throughout the endocytic system via a tyrosine-based motif in the cytoplasmic tail. Alternatively spliced transcript variants of this gene have been oBS/erved, but their full-length nature is not known.
Specification
Aliases R7; CD1; CD1A; BDCA1
Entrez GeneID 911
Swissprot P29017
clone 3G1B3
WB Predicted band size 37.7kDa
Host/Isotype Mouse IgG2b
Antibody Type Primary antibody
Storage Store at 4°C short term. Aliquot and store at -20°C long term. Avoid freeze/thaw cycles.
Species Reactivity Human
Immunogen Purified recombinant fragment of human CD1C (AA: extra 18-302) expressed in E. Coli.
Formulation Purified antibody in PBS with 0.05% sodium azide
Application
IHC 1/200 - 1/1000
FCM 1/200 - 1/400
ELISA 1/10000
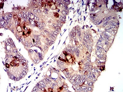
Product Image
TD-314031.jpg
TD-314032.jpg
TD-314033.jpg
Black line: Control Antigen (100 ng);Purple line: Antigen (10ng); Blue line: Antigen (50 ng); Red line:Antigen (100 ng) Flow cytometric analysis of Ramos cells using CD1C mouse mAb (green) and negative control (red).

Immunohistochemical analysis of paraffin-embedded human rectum cancer tissues using CD1C mouse mAb with DAB staining.