EN
CD抗体
当前位置:首页 > 产品中心 > 抗体 > CD抗体
Mouse Monoclonal Antibody to CD1A
All
  • CatalogTD-30187
  • ClonalitymAb
  • Application WB, IHC-P, ICC, ELISA
  • SynonymsR4; T6; CD1; FCB6; HTA1; CD1A
  • 规格
    100ul 50ul
  • 价格
    ¥2180
定制服务咨询

Mouse Monoclonal Antibody to CD1A


 

Description
CD1a is a non polymorphic MHC Class 1 related cell surface glycoprotein, expressed in association with Beta 2 microglobulin. CD1a is expressed by cortical thymocytes, Langerhan's cells and by interdigitating cells. CD1a is also expressed by some malignancies of T cell lineage and in histiocytosis X. Tissue specificity: Expressed on cortical thymocytes, epidermal Langerhans cells, dendritic cells, on certain T-cell leukemias, and in various other tissues.
Specification
Aliases R4; T6; CD1; FCB6; HTA1; CD1A
Entrez GeneID 909
Swissprot P06126
clone 7A7
WB Predicted band size 37kDa
Host/Isotype Mouse IgG1
Antibody Type Primary antibody
Storage Store at 4°C short term. Aliquot and store at -20°C long term. Avoid freeze/thaw cycles.
Species Reactivity Human
Immunogen Purified recombinant fragment of human CD1A expressed in E. Coli.
Formulation Ascitic fluid containing 0.03% sodium azide.
Application
WB 1/500 - 1/2000
IHC 1/200 - 1/1000
ICC 1/200 - 1/1000
ELISA 1/10000
Product Image

TD-301875.jpg

TD-301871.jpg

 

TD-301874.jpg

 
Red: Control Antigen (100ng); Purple: Antigen (10ng); Green: Antigen (50ng); Blue: Antigen (100ng); Western blot analysis using CD1A mouse mAb against K562 (1), RAJI (2), and MOLT4 (3) cell lysate. Immunofluorescence analysis of RAJI cells using CD1A mouse mAb (green). Blue: DRAQ5 fluorescent DNA dye.

 

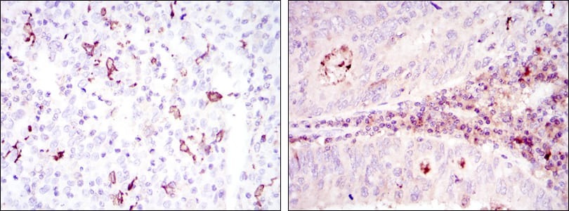
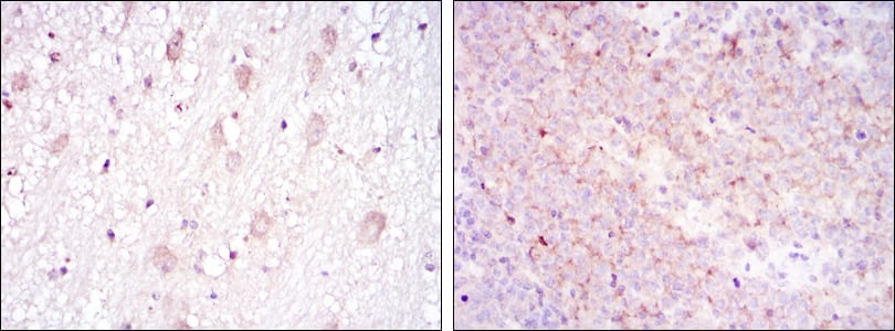
TD-301872.jpg

 

 

TD-301873.jpg

 
 
Immunohistochemical analysis of paraffin-embedded human cervical cancer tissues (left) and colon cancer tissues (right) using CD1A mouse mAb with DAB staining. mmunohistochemical analysis of paraffin-embedded human brain tissues (left) and submaxillary tumor tissues (right) using CD1A mouse mAb with DAB staining.