EN
CD抗体
当前位置:首页 > 产品中心 > 抗体 > CD抗体
CD272 Rabbit mAb
All
  • CatalogTD-R23804
  • ClonalitymAb
  • Application WB, IHC-P, IP
  • SynonymsA630002H24; B-and T-lymphocyte-associated protein
  • 规格
    100ul 50ul 20ul
  • 价格
    ¥2280
定制服务咨询

CD272 Rabbit mAb


Cat.# TD-R23804
Product Name CD272 Rabbit mAb
Gene ID 208154
SwissProt ID Q7TSA3
Gene Name Btla
Alternative Names A630002H24; B-and T-lymphocyte-associated protein
Background Lymphocyte inhibitory receptor which inhibits lymphocytes during immune response.
Research Field Immunology
Product Categories Primary antibody
Host Rabbit
Reactivity Human,Mouse
Application WB,IHC-P,IP
Dilution Ratio WB: 1/500-1/1000 IHC: 1/50-1/100 IP: 1/20
Molecular Weight Calculated MW: 34 kDa; Obs/erved MW: 55-80 kDa
Clonality Monoclonal Antibody
Clonality No. R09-4A1
Isotype IgG
Immunogen Recombinant protein of mouse CD272
Purification Affinity Purified
Conjugation Unconjugated
Modification Unmodified
Form Liquid
Buffer System 50mM Tris-Glycine(pH 7.4), 0.15M NaCl, 40% Glycerol, 0.01% Sodium azide and 0.05% BSA
Storage Store at 4°C short term. Aliquot and store at -20°C long term. Avoid freeze/thaw cycles.
TD-R23804-WB-2.jpg

 

Western blot analysis of CD272/BTLA in 3T3 lysates using CD272/BTLA antibody.

TD-R23804-WB-3.jpg

Western blot analysis of CD272/BTLA in K562, Hela lysates using CD272/BTLA antibody

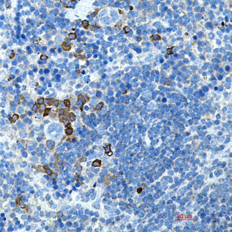
TD-R23804-IHC-1.jpg

Immunohistochemistry analysis of paraffin-embedded mouse spleen using CD272 antibody.High-pressure and temperature Sodium Citrate pH 6.0 was used for antigen retrieval.