EN
CD抗体
当前位置:首页 > 产品中心 > 抗体 > CD抗体
CD171 Rabbit mAb
All
IHC-P
  • CatalogTD-R50219
  • ClonalitymAb
  • Application IHC-P
  • SynonymsL1CAM; CAML1; MIC5; Neural cell adhesion molecule L1; N-CAM-L1; NCAM-L1; CD antigen CD171;CD171
  • 规格
    100ul 50ul 20ul
  • 价格
    ¥2280
定制服务咨询

CD171 Rabbit mAb


Cat.# TD-R50219
Product Name CD171 Rabbit mAb
Gene ID 3897
SwissProt ID P32004
Gene Name L1CAM
Alternative Names L1CAM; CAML1; MIC5; Neural cell adhesion molecule L1; N-CAM-L1; NCAM-L1; CD antigen CD171;CD171
Background Cell adhesion molecule with an important role in the development of the nervous system. Involved in neuron-neuron adhesion, neurite fasciculation, outgrowth of neurites, etc. Binds to axonin on neurons.
Research Field Signal Transduction
Product Categories Pathological antibody
Host Rabbit
Reactivity Human
Application IHC-P
Dilution Ratio IHC: 1/100-1/200
Molecular Weight -
Clonality Monoclonal Antibody
Clonality No. R05-3K4
Isotype IgG
Immunogen A synthesized peptide derived from human CD171.
Purification Affinity Purified
Conjugation Unconjugated
Modification Unmodified
Form Liquid
Buffer System Liquid in PBS containing 50% glycerol, 0.5% BSA and 0.02% sodium azide, pH 7.3.
Storage Store at 4°C short term. Aliquot and store at -20°C long term. Avoid freeze/thaw cycles.
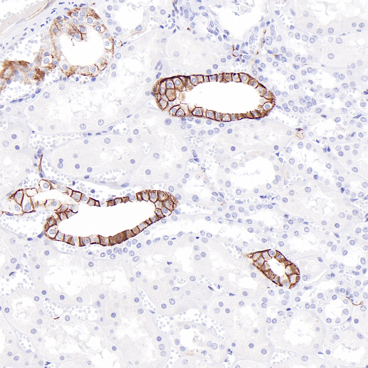
TD-R50219-IHC-1.jpg

Immunohistochemistry analysis of paraffin-embedded Kidney using CD171 antibody.High-pressure and temperature Tris-EDTA pH 8.0 was used for antigen retrieval.