EN
CD抗体
当前位置:首页 > 产品中心 > 抗体 > CD抗体
CD163 Rabbit mAb
All
  • CatalogTD-R381830
  • ClonalitymAb
  • Application WB, IHC-P, IP
  • SynonymsCD163; CD163 antigen; CD163 molecule; SCARI1; sCD163; Soluble CD163
  • 规格
    100ul 50ul 20ul
  • 价格
    ¥2280
定制服务咨询

CD163 Rabbit mAb


Cat.# TD-R381830
Product Name
CD163 Rabbit mAb
Gene ID
9332
SwissProt ID
Q86VB7
Gene Name
CD163
Alternative Names
CD163; CD163 antigen; CD163 molecule; SCARI1; sCD163; Soluble CD163
Background
Involved in clearance and endocytosis of hemoglobin/haptoglobin complexes by macrophages and may thereby protect tissues from free hemoglobin-mediated oxidative damage. May play a role in the uptake and recycling of iron, via endocytosis of hemoglobin/haptoglobin and subs/equent breakdown of heme. Binds hemoglobin/haptoglobin complexes in a calcium-dependent and pH-dependent manner.
Research Field
Immunology
Product Categories
Primary antibody
Host
Rabbit
Reactivity
Human
Application
WB,IHC-P,IP
Dilution Ratio
WB: 1/500-1/1000 IHC: 1/50-1/100 IP: 1/30
Molecular Weight
Calculated MW: 125 kDa
Clonality
Monoclonal Antibody
Clonality No.
R02-9J1
Isotype
IgG
Immunogen
A synthesized peptide derived from human CD163
Purification
Affinity Chromatography
Conjugation
Unconjugated
Modification
Unmodified
Form
Liquid
Buffer System
Rabbit IgG in phosphate buffered saline , pH 7.4, 150mM NaCl, 0.02% sodium azide and 50% glycerol.
Storage
Store at 4°C short term. Aliquot and store at -20°C long term. Avoid freeze/thaw cycles.
TD-381830-WB-1.jpg

Western blot analysis of CD163 in Human fetal kidney lysates using CD163 antibody.

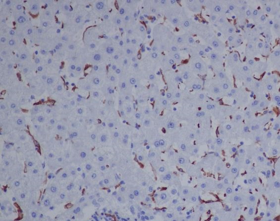
TD-381830-IHC-2.jpg

Immunohistochemistry analysis of paraffin-embedded mouse liver using CD163 antibody.High-pressure and temperature Sodium Citrate pH 6.0 was used for antigen retrieval.