EN
CD抗体
当前位置:首页 > 产品中心 > 抗体 > CD抗体
CD161 Rabbit pAb
All
WB
IHC-P
  • CatalogTD-822054
  • ClonalitypAb
  • Application WB, IHC-P
  • SynonymsKLRB1; CLEC5B; NKRP1A; Killer cell lectin-like receptor subfamily B member 1; C-type lectin domain family 5 member B; HNKR-P1a; NKR-P1A; Natural killer cell surface protein P1A; CD161
  • 规格
    100ul 50ul
  • 价格
    ¥1090
定制服务咨询

CD161 Rabbit pAb


Cat.# TD-822054
Product Name
CD161 Rabbit pAb
Gene ID
3820
SwissProt ID
Q12918
Gene Name
KLRB1
Alternative Names
KLRB1; CLEC5B; NKRP1A; Killer cell lectin-like receptor subfamily B member 1; C-type lectin domain family 5 member B; HNKR-P1a; NKR-P1A; Natural killer cell surface protein P1A; CD161
Background
Plays an inhibitory role on natural killer (NK) cells cytotoxicity.
Research Field
Immunology
Product Categories
Primary antibody
Host
Rabbit
Reactivity
Human,Mouse
Application
WB,IHC-P
Dilution Ratio
WB: 1/500-1/1000 IHC: 1/50-1/100
Molecular Weight
Calculated MW: 25 kDa; Obs/erved MW: 25 kDa
Clonality
Polyclonal Antibody
Clonality No.
-
Isotype
IgG
Immunogen
Fusion protein of human KLRB1
Purification
Affinity Purified
Conjugation
Unconjugated
Modification
Unmodified
Form
Liquid
Buffer System
pH 7.4 PBS, 0.05% NaN3, 40% Glycerol
Storage
Store at 4°C short term. Aliquot and store at -20°C long term. Avoid freeze/thaw cycles.
TD-822054-WB-1 .png

Western blot analysis of CD161 in mouse kidney, Human fetal liver lysates using CD161 antibody

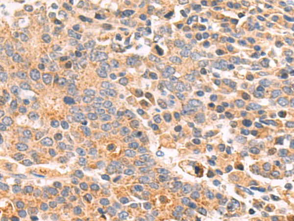
TD-822054-IHC-2.png

Immunohistochemistry analysis of paraffin-embedded Human gastric cancer using CD161 antibody. High-pressure and temperature Sodium Citrate pH 6.0 was used for antigen retrieval.