EN
CD抗体
当前位置:首页 > 产品中心 > 抗体 > CD抗体
[KO] CD147 Mouse mAb
All
WB
IHC-P
ICC/IF
  • CatalogTD-240134
  • ClonalitymAb
  • Application WB, IHC-P, ICC/IF
  • SynonymsBSG; Basigin; 5F7; Collagenase stimulatory factor; Extracellular matrix metalloproteinase inducer; EMMPRIN; Leukocyte activation antigen M6; OK blood group antigen; Tumor cell-derived collagenase stimulatory factor; TCSF; CD antigen CD147
  • 规格
    100ul 50ul
  • 价格
    ¥2580
定制服务咨询

[KO] CD147 Mouse mAb


Cat.# TD-240134
Product Name
[KO] CD147 Mouse mAb
Gene ID
682
SwissProt ID
P35613
Gene Name
BSG
Alternative Names
BSG; Basigin; 5F7; Collagenase stimulatory factor; Extracellular matrix metalloproteinase inducer; EMMPRIN; Leukocyte activation antigen M6; OK blood group antigen; Tumor cell-derived collagenase stimulatory factor; TCSF; CD antigen CD147
Background
Plays pivotal roles in spermatogenesis, embryo implantation, neural network formation and tumor progression. Stimulates adjacent fibroblasts to produce matrix metalloproteinases (MMPS). May target monocarboxylate transporters SLC16A1, SLC16A3 and SLC16A8 to plasma membranes of retinal pigment epithelium and neural retina.
Research Field
Immunology
Product Categories
KO validated
Host
Mouse
Reactivity
Human,Monkey,Rat
Application
WB,IHC-P,ICC/IF
Dilution Ratio
WB: 1/500-1/1000 IHC: 1/50-1/100 ICC: 1/100-1/200
Molecular Weight
Calculated MW: 42 kDa; Obs/erved MW: 55 kDa
Clonality
Monoclonal Antibody
Clonality No.
9H5
Isotype
IgG2b
Immunogen
Full length human recombinant protein of human BSG produced in 293T cell.
Purification
Affinity Purified
Conjugation
Unconjugated
Modification
Unmodified
Form
Liquid
Buffer System
Liquid in PBS containing 50% glycerol, 1% BSA and 0.02% sodium azide, pH 7.3.
Storage
Store at 4°C short term. Aliquot and store at -20°C long term. Avoid freeze/thaw cycles.
TD-240134-WB-1.jpg

Western blot analysis of CD147 in 293T(WT) and BSG-Knockout 293T(KO) using CD147 antibody.

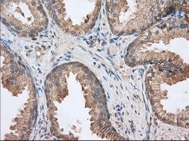
TD-240134-IHC-2.jpg

Immunohistochemistry analysis of paraffin-embedded Human prostate tissue using BSG antibody.High-pressure and temperature Sodium Citrate pH 6.0 was used for antigen retrieval.

TD-240134-IF-3.jpg

Immunofluorescence analysis of CD147 in HT-29 using BSG antibody.