EN
CD抗体
当前位置:首页 > 产品中心 > 抗体 > CD抗体
CD146 Rabbit mAb
All
  • CatalogTD-R22825
  • ClonalitymAb
  • Application WB, IHC-F, IHC-P, ICC/IF
  • SynonymsCD146 plays a role in cell adhesion, and in cohesion of the endothelial monolayer at intercellular junctions in vascular tissue. Its expression may allow melanoma cells to interact with cellular elements of the vascular system, thereby enhancing hematogeneous tumor spread. Could be an adhesion molecule active in neural crest cells during embryonic development.
  • 规格
    100ul 50ul 20ul
  • 价格
    ¥2280
定制服务咨询

CD146 Rabbit mAb


Cat.# TD-R22825
Product Name
CD146 Rabbit mAb
Gene ID
4162
SwissProt ID
P43121
Gene Name
MCAM
Alternative Names
CD146; MUC18
Background
CD146 plays a role in cell adhesion, and in cohesion of the endothelial monolayer at intercellular junctions in vascular tissue. Its expression may allow melanoma cells to interact with cellular elements of the vascular system, thereby enhancing hematogeneous tumor spread. Could be an adhesion molecule active in neural crest cells during embryonic development.
Research Field
Immunology
Product Categories
Primary antibody
Host
Rabbit
Reactivity
Human,Rat
Application
WB,IHC-F,IHC-P,ICC/IF
Dilution Ratio
WB: 1/500-1/1000 IHC: 1/50-1/100 IF: 1/50-1/200
Molecular Weight
Calculated MW: 72 kDa; Obs/erved MW: 120 kDa
Clonality
Monoclonal Antibody
Clonality No.
R05-5A2
Isotype
IgG
Immunogen
A synthetic peptide of human CD146
Purification
Affinity Purified
Conjugation
Unconjugated
Modification
Unmodified
Form
Liquid
Buffer System
50mM Tris-Glycine(pH 7.4), 0.15M NaCl, 40% Glycerol, 0.01% Sodium azide and 0.05% BSA
Storage
Store at 4°C short term. Aliquot and store at -20°C long term. Avoid freeze/thaw cycles.
TD-R22825-ICC-1.jpg

Immunocytochemistry analysis of CD146 (green) in Hela using CD146 antibody,and DAPI(blue).

TD-R22825-WB-2.jpg

Western blot analysis of CD146 in C6, Hela lysates using CD146 antibody.

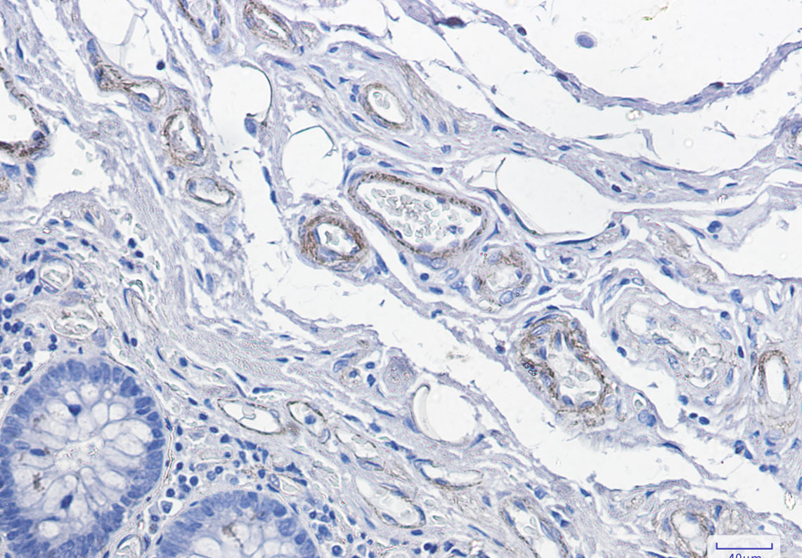
TD-R22825-IHC-3.jpg

Immunohistochemistry analysis of paraffin-embedded Human colon cancer tissue using CD146 antibody. High-pressure and temperature Sodium Citrate pH 6.0 was used for antigen retrieval.