EN
CD抗体
当前位置:首页 > 产品中心 > 抗体 > CD抗体
CD138 Rabbit mAb
All
IHC-P
  • CatalogTD-R50035
  • ClonalitymAb
  • Application IHC-P
  • SynonymsSDC1; SDC; Syndecan-1; SYND1; CD138
  • 规格
    100ul 50ul
  • 价格
    ¥2880
定制服务咨询

CD138 Rabbit mAb


Cat.# TD-R50035
Product Name
CD138 Rabbit mAb
Gene ID
6382
SwissProt ID
P18827
Gene Name
SDC1
Alternative Names
SDC1; SDC; Syndecan-1; SYND1; CD138
Background
Cell surface proteoglycan that bears both heparan sulfate and chondroitin sulfate and that links the cytoskeleton to the interstitial matrix.
Research Field
Immunology
Product Categories
Pathological antibody
Host
Rabbit
Reactivity
Human
Application
IHC-P
Dilution Ratio
IHC: 1/100-1/200
Molecular Weight
-
Clonality
Monoclonal Antibody
Clonality No.
BP6035
Isotype
IgG
Immunogen
A synthesized peptide derived from human SDC1
Purification
Affinity Purified
Conjugation
Unconjugated
Modification
Unmodified
Form
Liquid
Buffer System
Liquid in PBS containing 50% glycerol, 0.5% BSA and 0.02% sodium azide, pH 7.3.
Storage
Store at 4°C short term. Aliquot and store at -20°C long term. Avoid freeze/thaw cycles.
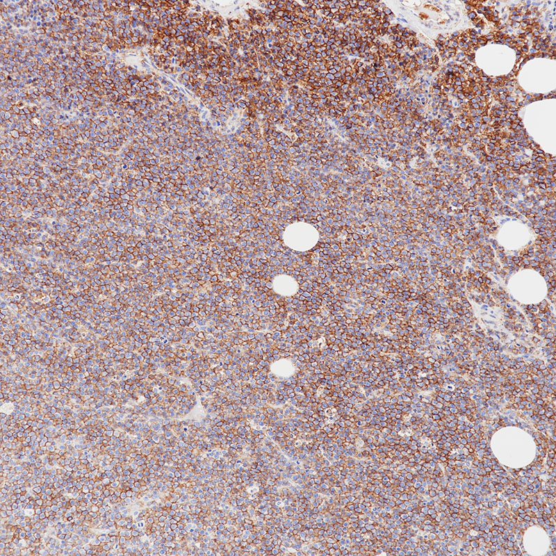
TD-R50035-IHC-1.jpg

 

Immunohistochemistry analysis of paraffin-embedded Extramedullary Plasmacytoma using CD138 antibody.High-pressure and temperature Tris-EDTA pH 8.0 was used for antigen retrieval.