EN
抗体药类似物
Research Grade Berlimatoxumab
All
TD-JN969016_1.jpg
TD-JN969016_2.jpg
  • CatalogTD-JN969016
  • ClonalitymAb
  • Application Research Grade Biosimilar
  • SynonymsASN-100(combinationofatidortoxumabandberlimatoxumab),ASN-2,CAS:1939109-24-6
  • 规格
    1mg
  • 价格
    ¥询价
定制服务咨询

Research Grade Berlimatoxumab


Catalog No. TD-JN969016
Species reactivity Staphylococcus aureus
Applications Research Grade Biosimilar
Host species Human
Isotype IgG1-kappa
Expression system Mammalian Cells
Clonality Monoclonal
Target lukG
Endotoxin level Please contact the lab for this information.
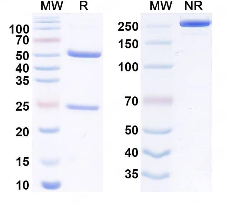
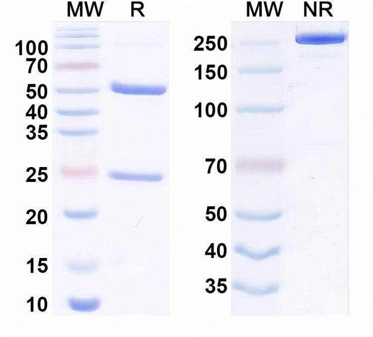
Purity >95% purity as determined by SDS-PAGE.
Purification Protein A/G, purified from cell culture supernatant.
Accession A0A6B5MC52
Form Liquid
Storage buffer 0.01M PBS,pH7.4.
Stability and Storage Use a manual defrost freezer and avoid repeated freeze-thaw cycles. Store at 4°C for short-term storage (1-2 weeks). Store at -20°C for up to 12 months. For long-term storage, store at -80°C.
Alternate Names ASN-100(combinationofatidortoxumabandberlimatoxumab),ASN-2,CAS:1939109-24-6
Background Berlimatoxumab (ASN-2) is an antibody. Berlimatoxumab can be used for experiment research.
Note For research use only. Not for use in clinical or therapeutic applications.

 

TD-JN969016_1.jpg
Bioactivity
 
SEC-HPLC detection for Research Grade Berlimatoxumab.
TD-JN969016_2.jpg
SDS-PAGE
 
SDS-PAGE for Research Grade Berlimatoxumab.