EN
IL抗体
当前位置:首页 > 产品中心 > 抗体 > IL抗体
IL-36 beta Rabbit pAb
All
  • CatalogTD-251698
  • ClonalitypAb
  • Application WB,IHC-P,ELISA
  • Synonyms
  • 规格
    100μl 50μl
  • 价格
    ¥2080
定制服务咨询

IL-36 beta Rabbit pAb


Product Name
IL-36 beta Rabbit pAb
Gene ID
27177
SwissProt ID
Q9NZH7
Gene Name
IL36B
Alternative Names
IL-36 beta; IL36B; IL1F8; IL1H2; Interleukin-36 beta; FIL1 eta; Interleukin-1 eta; IL-1 eta; Interleukin-1 family member 8; IL-1F8; Interleukin-1 homolog 2; IL-1H2
Background
Cytokine that binds to and signals through the IL1RL2/IL-36R receptor which in turn activates NF-kappa-B and MAPK signaling pathways in target cells linked to a pro-inflammatory response.
Research Field
Immunology
Product Categories
Primary antibody
Host
Rabbit
Reactivity
Human
Application
WB,IHC-P,ELISA
Dilution Ratio
WB: 1/500-1/1000 IHC: 1/50-1/100 ELISA: 1/10000
Molecular Weight
Calculated MW: 19 kDa; Observed MW: 19 kDa
Clonality
Polyclonal Antibody
Clonality No.
-
Isotype
IgG
Immunogen
The antiserum was produced against synthesized peptide derived from the C-terminal region of human IL36B.
Purification
Affinity Purified
Conjugation
Unconjugated
Modification
Unmodified
Form
Liquid
Buffer System
Liquid in PBS containing 50% glycerol, 0.5% BSA and 0.02% sodium azide, pH 7.3.
Storage
Store at 4°C short term. Aliquot and store at -20°C long term. Avoid freeze/thaw cycles.
TD-251698-WB-1.jpg
Western blot analysis of IL-36 beta in HepG2 lysates using IL-36 beta antibody.
TD-251698-IHC-2.jpg
Immunohistochemistry analysis of paraffin-embedded Human lung using IL-36 beta antibody.High-pressure and temperature Sodium Citrate pH 6.0 was used for antigen retrieval.
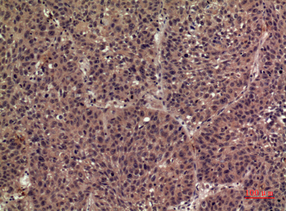
TD-251698-IHC-3.jpg
Immunohistochemistry analysis of paraffin-embedded Human lung using IL-36 beta antibody. High-pressure and temperature Sodium Citrate pH 6.0 was used for antigen retrieval.