EN
IL抗体
当前位置:首页 > 产品中心 > 抗体 > IL抗体
IL-18 Rabbit mAb
All
  • CatalogTD-R24693
  • ClonalitymAb
  • Application WB,IHC-P
  • Synonyms
  • 规格
    100μl 50μl
  • 价格
    ¥2280
定制服务咨询

IL-18 Rabbit mAb


Product Name IL-18 Rabbit mAb
Gene ID 3606
SwissProt ID Q14116
Gene Name IL18
Alternative Names IL-18; IL18; IGIF; IL-1g; IL1F4; interleukin-18
Background The protein encoded by this gene is a proinflammatory cytokine that augments natural killer cell activity in spleen cells, and stimulates interferon gamma production in T-helper type I cells. Alternatively spliced transcript variants encoding different isoforms have been found for this gene.
Research Field Immunology
Product Categories Recombinant Rabbit Monoclonal antibody
Host Rabbit
Reactivity Human
Application WB,IHC-P
Cited WB (Duck)
Dilution Ratio WB: 1/500-1/1000 IHC: 1/50-1/100
Molecular Weight Calculated MW: 22 kDa; Observed MW: 17 kDa
Clonality Monoclonal Antibody
Clonality No. R02-8B2
Isotype IgG
Immunogen Recombinant protein of human IL18
Purification Affinity Purified
Conjugation Unconjugated
Modification Unmodified
Form Liquid
Buffer System 50mM Tris-Glycine(pH 7.4), 0.15M NaCl, 40%Glycerol, 0.01% sodium azide and 0.05% BSA.
Storage Store at 4°C short term. Aliquot and store at -20°C long term. Avoid freeze/thaw cycles.
TD-R24693-WB-1.jpg
Western blot analysis of IL-18 in Hela lysates using IL-18 antibody.
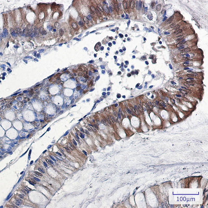
TD-R24693-IHC-2.jpg
Immunohistochemistry analysis of paraffin-embedded Human colon cancer using IL-18 antibody.High-pressure and temperature Sodium Citrate pH 6.0 was used for antigen retrieval.