EN
IL抗体
当前位置:首页 > 产品中心 > 抗体 > IL抗体
IL-10 Rabbit pAb
All
  • CatalogTD-502171
  • ClonalitypAb
  • Application WB,IHC-P
  • Synonyms
  • 规格
    100μl 50μl
  • 价格
    ¥3280
定制服务咨询

IL-10 Rabbit pAb


Product Name IL-10 Rabbit pAb
Gene ID 3586
SwissProt ID P22301
Gene Name IL10
Alternative Names IL10; Interleukin-10; IL-10; Cytokine synthesis inhibitory factor; CSIF
Background Interleukin-10 (IL-10) is an anti-inflammatory cytokine that is produced by T cells, NK cells, and macrophages. IL-10 initiates signal transduction by binding to a cell surface receptor complex consisting of IL-10 RI and IL-10 RII, leading to the activation of Jak1 and Tyk2 and phosphorylation of Stat3.
Research Field Immunology
Product Categories Primary antibody
Host Rabbit
Reactivity Human,Mouse,Rat
Application WB,IHC-P
Dilution Ratio WB: 1/500-1/1000 IHC: 1/50-1/100
Molecular Weight Calculated MW: 21 kDa; Observed MW: 18 kDa
Clonality Polyclonal Antibody
Clonality No. -
Isotype IgG
Immunogen Recombinant protein of human IL10 (NP_000563.1).
Purification Affinity Purified
Conjugation Unconjugated
Modification Unmodified
Form Liquid
Buffer System Liquid in PBS containing 50% glycerol, 0.5% BSA and 0.02% sodium azide, pH 7.3.
Storage Store at 4°C short term. Aliquot and store at -20°C long term. Avoid freeze/thaw cycles.
TD-502171-WB-1.jpg
Western blot analysis of IL-10 in Jurkat lysates using IL-10 antibody.
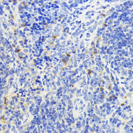
TD-502171-IHC-2.jpg
Immunohistochemistry analysis of paraffin-embedded mouse spleen using IL-10 antibody.High-pressure and temperature Sodium Citrate pH 6.0 was used for antigen retrieval.